OSPE Papers
Pages
Home
surgery ospe 2012
Gynae Ospe 2012
Medicine ospe 2012
Peades ospe 2012
surgical instrument revision
Surgical instruments pics
medicine ospe set 1
Surgery ospe set 1
medicine ospe set 2
Paedes ospe set 1
surgery ospe set 2
special patho set 1
special patho ospe set 2
Ent instruments
Eye instrument pics
Gynae ospe set 1
paedes ospe set 2
community medicine ospe
x rays medicine
Eye ospe set 1
x rays medicine
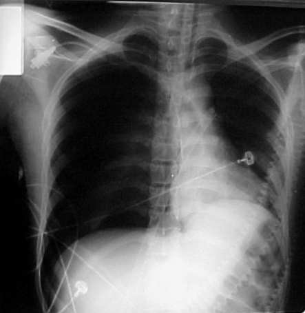
Chest X-Ray reveals hydropneumothorax on the left side
Dinner fork deformity
Pneumothorax
Right_Flail
No comments:
Post a Comment
Home
Subscribe to:
Comments (Atom)
No comments:
Post a Comment